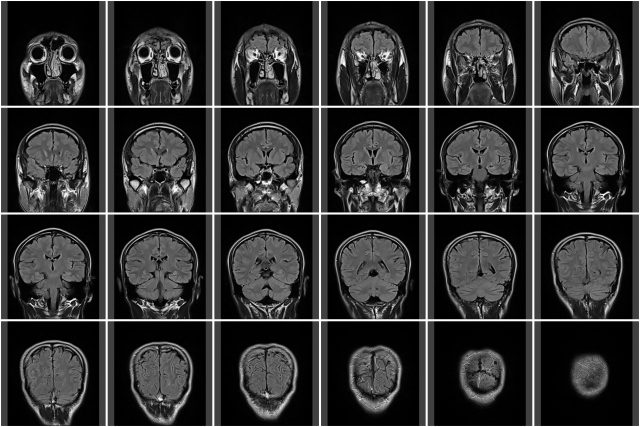
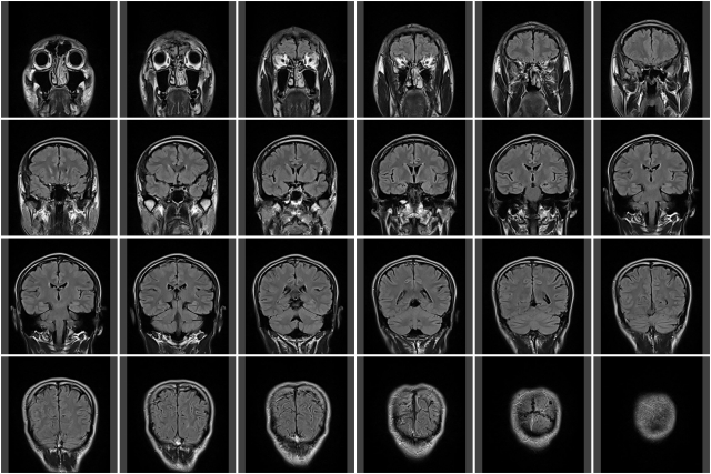
中大脳動脈狭窄症になり脳梗塞予備軍に認定された独身中年がなんとか脳梗塞にならないように努力するブログです。

一過性脳虚血発作(TIA)を発症してからの生活

Copyright© 一過性脳虚血発作(TIA)を発症してからの生活 , 2026 All Rights Reserved Powered by STINGER.